钻石会员
已认?/p>

1引言
ISO/TS 276871和ASTM E24562都将纳米粒子定义?00nm及以下的粒径,使其成为使用最广泛的分类。由于科学和其他原因,不太严格的解释扩大了上限范围。现在许多大?00nm的纳米材料通常被称为纳米颗粒。开发这种尺寸范围的药物产品的动机在于改善其溶出?生物利用度、靶向性、系统中的循环时间和药代动力学、/p>
这些药物的研究许多是为了增强靶向性而开发的。被动靶向方法通过减小尺寸并用诸如聚乙二醇(PEG)的涂层掩盖纳米颗粒来增加循环时间。主动靶向方法改变纳米颗粒的表面以寻找并粘附于身体的特定部位,同时避免健康组织,例如癌症肿瘤。可以添加纳米颗粒表面上的细胞特异性配体以特异性结合互补受体、/p>
Nicomp 3000系列纳米粒度仪(?)是用于测量药物递送的纳米颗粒粒径和zeta电位(表面电荷)的理想仪器、/p>

2纳米粒子的类垊/strong>
纳米晶体
活性药物成分(API)通常是结晶的。疏水性晶体可能难以配制成以亲水性载体机制递送。通过将尺寸减小到纳米晶体范围,纳米膨胀可以提高药物的生物利用度,其中溶解速度是限速步骤,例如水溶性差的药?。这些纳米晶体通常需要使用表面活性剂或聚合物来稳定,包括在加工过程中。粒径的减小通过增加表面积A(图2)和饱和溶解度Cs来增加溶解速率、/p>

Noyes-Whitney方程(方?)显示了A和Cs的增加将如何影响溶解速率dC/dt、/p>
dC/dt=DA/Vh(Cs - Cx?......(方?(/strong>
dC/dt=溶出速率
D=扩散系数
A=表面?/p>
Cs=边界层的浓度
Cx=浓度API@给定时间
V=体积溶解介质
h=边界层的高度
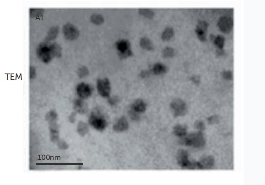
基于脂质的液晶纳米颗粒(LCNP)是另一种能够提高疏水性和亲水性药物的生物利用度的递送系统。这些是通过将非层状液晶基质进行高剪切能量分散到水相中制备的自组装结构。LCNP的粒径是需要适当分析和控制的重要物理化学性质。Nicomp3000系列纳米粒度仪已成功用于确定LCNP分散体中的平均大小和聚集体的存在?将紫杉醇加入LCNP分散体中并通过Nicomp3000系列纳米粒度仪和TEM分析,参见图3、/p>



TEM图像表示较小的近25nm颗粒?00nm范围 。较 的Nicomp结果是高斯强度分布平均值迫使整个分布成为一个峰值。较低的Nicomp结果利用专有的Nicomp非负最小二乘算法来报告更高的分辨本研究中使用的两个样品通过Nicomp3000系列纳米粒度仪和TEM测试的粒度如?所示。非靶向胶束的数据显示在左边,靶向胶束显示在右边。DLS数据看起来略大于TEM图像,这可能是由于在TEM分析之前水蒸发引起的PEG壳的缩。率和更准确地描述实际粒度分布的双峰性质。突出了Nicomp3000系列纳米粒度仪的一个主要优点⸺即使在浓度低?.2mg/mL时也能解析多峰分布、/p>
胶束
另一种增加疏水性药物增溶作用的潜在药物递送系统是聚合物胶束?当溶液中聚合物的浓度超过一定的临界胶束浓度(CMC)时,就会形成胶束。聚合物胶束是由两亲性嵌段共聚物合成的核壳纳米结构。胶束具有尺寸非常小?0?00 nm)的优点,可以改善对实体瘤的被动靶向。通过用配体修饰表面,聚合物胶束能够进行位点特异的药物递送、/p>
Nicomp3000系列纳米粒度仪已被用于许多基于胶束的研究项目中的颗粒尺寸测量?-12在一项研究中?2聚合物胶束是使用聚己内酯(PCL)和聚乙二醇(PEG)共聚物形成的。以多西他赛(DTX)为 物, 前列腺特异性膜抗原(SMLP)小分子配体修饰表面。图4显示了胶束的自组装和药物负载的最终结构的内吞过程、/p>

本研究中使用的两个样品通过Nicomp3000系列纳米粒度仪和TEM测试的粒度如?所示。非靶向胶束的数据显示在左边,靶向胶束显示在右边。DLS数据看起来略大于TEM图像,这可能是由于在TEM分析之前水蒸发引起的PEG壳的收缩、/p>




脂质佒/p>
脂质体是一种双层囊泡,通常在制药工业中用作将化疗药物输送到肿瘤区域的药物输送系统。它们由磷脂组成,磷脂的极性末端连接到非极性链上,自组装成双层囊泡,极性末端面向水介质,非极性末端形成双层。在药物应用中,活性药物成分(API)通常被掺入脂质体,或者被掺入亲水口袋,或者被夹在双层之间,这取决于API的亲水性,见图6。表面改性对于靶向递送是常见的、/p>

在处理脂质体时监测粒径至关重要,Nicomp3000系列纳米粒度仪经常用于此应用?3-20在Entegris的一项内部研究中,脂质体是使?:1:1的HSPC、胆固醇和mPEG-DSP的配方制成的。样品首先通过转?200rpm混合10分钟,然后使用微射流均质?1搭配Y型腔采用25000psi的压力制成脂质体。对样品进行均质处理1次?次?次和10次,使其通过微流器。预混物和处理过的样品的图像(从左到右)如图7所示、/p>

脂质体样品在Nicomp3000系列纳米粒度仪和AccuSizer®系列液体颗粒计数器上进行分析。Nicomp用于确定加工过程中强度平均尺寸的减小,而AccuSizer(LE传感器范?.5?00μm)用于量化分布中较大粒子尾部的存在。Nicomp检测结果如?所示,AccuSizer检测结果如?所示、/p>


使用DLS来确定平均尺寸,使用SPOS来量化尾部的存在和浓度,这个搭配在许多行业中都能见到,是USP<729>脂质注射乳剂中球粒径分布的一个组成部分、/p>
用于过程监控的在线DLS
虽然绝大多数DLS检测都是在实验室进行的,但Entegris在客户生产操作中安装了多个设备,在生产工艺期间定期检测颗粒尺寸?3这些设备已用于监测药物输送的纳米颗粒制造过程中使用的高压均质过程、稀释样品以避免造成多重散射效应、检测样品,然后重复该程序(见图10)。整个测量周期约为两分钟,为监控生产工艺操作的工程师提供实时的粒度信息、/p>

?1显示了作为高压均质器下游压力函数的在线DLS结果。目标是确定将颗粒尺寸保持在非常接近100nm尺寸的最佳压力。在确定最佳压力(~10000 psi)后,使用在线DLS系统来确保整个批次的生产符合规范、/p>

3结论
Nicomp纳米粒度仪广泛用于研究?4-39质量释放测试和过程监测中纳米级药物递送系统的粒度和zeta电位分析。AccuSizer液体颗粒计数器提供了一种补充技术,用于确定较大颗粒的浓度,用于表明不稳定或未优化的配方或工艺条件、/p>