国仪量子技术(合肥)股份有限公号/p>
白金会员
已认?/p>
在自然界的奇妙世界中,蜥蜴以其多变的体色而闻名。这些色彩不仅令人着迷,更是蜥蜴生存和繁衍的关键。但这些绚丽色彩背后的科学原理是什么呢?本文将结合国仪量子场发射扫描电镜产品,带大家一起了解蜥蜴变色产生的机理、/p>
*本文中所使用的蜥蜴皮肤细胞由中国科学院昆明动物研究所车静研究员课题组提供、/strong>
1
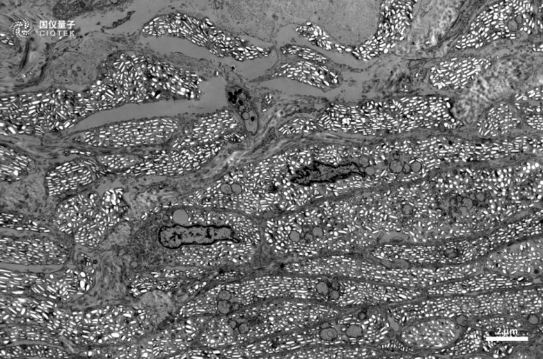
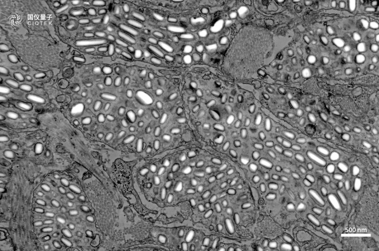
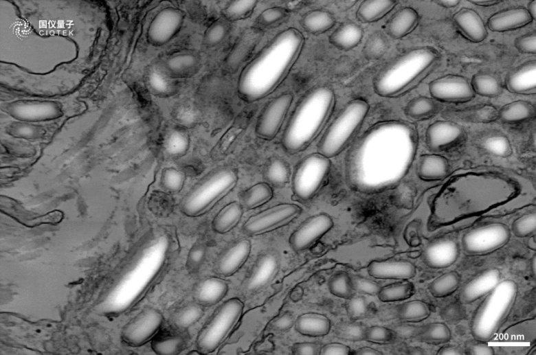
扫描电镜下的蜥蜴皮肤
自然界中的动物体色,可以按形成机制分为两类:色素色和结构色、/p>
色素色的产生是通过色素成分的含量变化以及颜色的叠加实现的,类似于“三原色”的原理;而结构色是通过细密的生理结构反射光线产生不同波长的反射光而形成的颜色,其基础主要是光学原理。下面几张图(图1-4)就是使?span style="color: rgb(0, 112, 192);">国仪量子场发射扫描电镜SEM5000-STEM附件对蜥蜴皮肤细胞中的虹彩细胞进行表征的结果,虹彩细胞具有类似衍射光栅一样的结构,我们暂且称它为晶体片,晶体片能够反射、散射不同波长光、/p>
研究发现通过蜥蜴虹彩细胞中晶体片的大小、间距、角度等变化,可以改变它们的皮肤散射和反射的光波镾/strong>,这一点对研究蜥蜴皮肤变色产生的机制具有重要的意义、/p>
扫描电镜下对蜥蜴皮肤细胞进行表征,可以直观地看到蜥蜴不同颜色下的皮肤晶体片结构特点:包括大小、长度、排列方式,使得微观表征与宏观表现生动的关联到了一起、/p>

? 蜥蜴皮肤的超微结?30 kV/STEM

? 蜥蜴皮肤的超微结?30 kV/STEM

? 蜥蜴皮肤的超微结?30 kV/STEM

? 蜥蜴皮肤的超微结?30 kV/STEM
结合国仪自主研发 “Automap”大图拼接软件,可以对蜥蜴皮肤细胞进行大面积的宏观结构表征,最大可至厘米级。因此不论是高倍细节还是宏观区域的表征,国仪电镜皆可满足、/p>


“Automap”操作界靡/p>
国仪量子场发射扫描电镜,具有高分辨成像的优势,且支持选配新型的扫描透射电子(STEM)探测器,可以结合扫描电镜和透射电镜的功能特点, 30kV 及以下的加速电压下,获得由透射电子形成的高分辨率图像。对于观测电子束敏感的生物样品,有着独特优势、/p>
2
国仪量子场发射扫描电镛/strong>
扫描电镜以其分辨率高,放大倍数范围广等优点,已经成为了科学研究过程中必要的表征工具、/p>
扫描电镜的成像除了能得到样品表面的信息,搭配扫描透射探测器附件,应用透射模式(Scanning transmission electron microscopy,STEM),即可得到物质的内部结构信息。此外扫描电镜上的STEM模式与传统透射电镜相比,由于其加速电压更低,所以可显著减少电子束对样品的损伤,并且可大大提高图像的衬度,特别适合于高分子、生物等软材料样品的结构分析?nbsp;
国仪量子系列扫描电镜皆可选配此扫透模式,其中SEM5000作为国仪场发射热门机型,它采用了先进的镜筒设计,包括高压隧道技术(SuperTunnel)、低像差无漏磁物镜设计,拥有多种成像模式:INLENS、ETD、BSED、STEM等,且STEM模式分辨率可?.8nm@30kv、/p>

3
参考文?/strong>
[1]崔慧?陈旭,梁爱?绿安乐蜥微皮纹和皮肤感受器形态学与组织学研究[J].四川动物, 2023, 42(6):641-649.[2]Camouflage versus running performance as strategies against predation in a lizard inhabiting different habitats[J]. Wan Lixia;Liu Zhenxia;Wang Tao;Yang Minglu;Li Jiasheng;Sun Hui;Niu Chenkai;Zhao Wei;Jin Yuanting.Ecology and Evolution,2021
[3]Real-Time Integration Center of Mass (riCOM) Reconstruction for 4D STEM. Chu-Ping Yu, Thomas Friedrich, Daen Jannis, Sandra Van Aert, Johan Verbeeck. Microscopy and Microanalysis ,2022, 28, 1526?537.