复纳科学仪器(上海)有限公司
金牌会员
已认?/p>
一直以来,透射电镜(TEM)是观察和研究超微结构的首选工具,可用于观察整个细胞结构,包括细胞壁、细胞膜、细胞核和各种细胞器的变化,以及外源物质与细胞之间的关系等。不仅有助于许多重要细胞器的结构和功能的研究,而且有助于解剖病理学、血液学和微生物学等学科的病理诊断研究、/p>
扫描透射(STEM)模式作 TEM 的附加配件,可以显著提高生物样品的衬度,特别是未染色的组织切片。应对此类生物样品,TEM 操作人员通常也会选择相对较低的加速电压(80kV)来增加图像的衬度,并提高清晰度。但是由于其操作的复杂性,在对细胞生物学和病理学的超微结构的研究中,还没有被广泛应用(除专业的电镜中心外)、/p>
飞纳台式场发射扫描电镜,体积小巧,具有低电压成像的优势,配备了新型的扫描透射(STEM)探测器后,可以结合扫描电镜和透射电镜的功能特点, 15kV 的低加速电压下,就可以获得高分辨率的扫描透射成像。在观测电子束敏感的生物样品时,可以获得高成像质量图片、/p>

以下为大家分享生物组织样品的制样方法以及 4 个使 Pharos-STEM 拍摄的案例。(加速电 15kV,工作距 8.9mm(/p>

制样方式
对生物组织样品进行透射电镜成像时,制样处理过程主要包括固定、脱水处理、树脂浸润和干燥、切片、/strong>
具体过程如下:使 2.5% 的戊二醇溶液(溶解于 PH 值为 7.4 0.1M 碳酸钠缓冲液中)进行固定,固定完成后,组织样品在碳酸钠缓冲液中清 1-2 天。这个过程具体包括使 2% 四氧化饿清洗 4h?% 醋酸铀清洗 1h,醋酸钠清洗 1h;然后使用梯度乙醇和丙酮进行脱水处理;接着按照标准配方使用低粘度环氧树 Spurr 进行包埋,将树脂 70 下固 15h;最后使用超微切片机制备 70nm 厚的组织切片,将组织切片安装 300 目的铜网上。接下来将具有样品的铜网放入 Pharos-STEM 中进行观测,结果如下、/p>
01案例一
被肾小囊(Bowman's capsule)包裹的正常肾小琂/span>


? 小鼠肾标本样品(肾小球和临近的肾血管) STEM 图。红色箭头处可以看到含有红细胞的肾小球毛细血管,毛细血管被肾小球基底膜和足细胞的足突包围、/p>
? 为被肾小囊(Bowman's capsule)包裹的正常肾小球的超微结构 STEM 图显示了正常肾小球毛细血管袢和肾小球系膜,与 TEM 下的微观图像类似。STEM 图中的红色箭头处清晰显示了肾小球基底膜、系膜基质、系膜胞质、足细胞足突的细节以及与基底膜毗邻的裂孔结构。STEM 图像显示了高分辨的超微结构,图像衬度明显,可以快速捕捉到极小的细胞变化,并快速分析感兴趣部位的微观结构、/p>
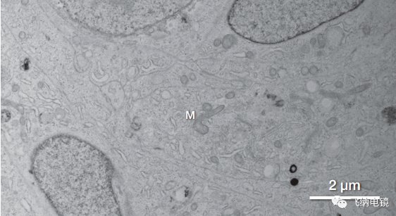
02案例事/strong>
正常的小鼠胰腺腺泡细胝/strong>


? 正常的小鼠胰腺腺泡细胞结 STEM 图。图中显示了酶原颗粒(Z)、液泡、线粒体(M)、腺泡腔(L)和粗面内质网(R)。上图为胰腺星形细胞,下图为内质网的精细结构、/p>
03案例丈/strong>
人类脑肿瘤组细/span>


3 人类脑肿瘤组 STEM 图。图中清晰显示了细胞的超微结构特征,髓鞘轴突、线粒体和嵴结构(M)、包含细胞间质纤维和囊泡的星形细胞结构(红色箭头处)。图中可以清晰观测到细胞结构和细胞器之间的关系、/p>




? 培养的全能干细胞 STEM 图。晶状体上皮细胞内有大量的细胞质器,如线粒体和卵圆形细胞核。均质的细胞外观与早期细胞分化阶段的细胞相似(数据来 ROR1e LECs)。图中可以清晰看到晶状体的微结构,包括靠近组织周围的晶状体上皮细胞,以及与之相邻的具有杆状细胞核的未成熟的晶状体纤维细胞,具有圆形细胞核的细胞和晶状体纤维细胞类似、/p>
总结Conclusion
通过以上 4 个案例,可以看出,使用配 STEM 探测器的飞纳台式场发射扫描电镜,在观察生物类样品时,在较低的加速电压下,几分钟内便可以获得高衬度、高分辨图像、/p>
最新动?/p>更多![]()