场发射扫描电镜SEM5000正式上线使用

左侧设备为钨灯丝扫描电镜SEM3200
右侧设备为场发射扫描电镜SEM5000
近日,国仪量子场发射扫描电镜SEM5000交付中国农科院作科所重大平台中心并正式投入使用、/p>
SEM5000可提供形貌观测服务:
?)对于观测已经干燥的组织样品,可以直接在仪器预约平台上预约使用、/p>
?)需要进行干燥处理的新鲜组织样品,可以采用固定液固定后,送至平台预约样品处理、/p>
?)新鲜组织样品固定须知:
样品取材3毫米以内,采用戊二醛(动物组织)或者FAA(植物组织)固定液固定,可以采用真空泵辅助固定,提高固定效率。固定完成后的样品放置在2ml离心管内,补满固定液后送至重大工程?15电镜室、/p>
联系亹/strong>
吴老师?3146887036
王老师?8612140962
SEM5000性能特点
SEM5000是一款分辨率高、功能丰富的场发射扫描电子显微镜。先进的镜筒设计,高压隧道技术(SuperTunnel)、低像差无漏磁物镜设计,实现了低电压高分辨率成像,同时磁性样品可适用。光学导航、完善的自动功能、精心设计的人机交互,优化的操作和使用流程,无论经验是否丰富,都可以快速上手,完成高分辨率拍摄任务、/p>

01分辨率高,低加速电压下实现高分辨成僎/strong>
02电磁复合物镜,减小像差,显著提高低电压下的分辨率,而且可观察磁性样?/strong>
03高压隧道技?SuperTunnel) ,在隧道中的电子能保持高能量,减少了空间电荷效应,低电压分辨率得到保?/strong>
04电子光路无交叉,有效的降低系统像差,提升分辨能力
05水冷恒温物镜,保证物镜工作的稳定性、可靠性和可重复?/strong>
06磁偏转六孔可调光阑,自动切换光阑孔,无需机械调节,实现高分辨率观察或大束流分析模式快速切捡/strong>
测试样品展示

SEM5000拍摄的发育中的真菌孢孏/strong>

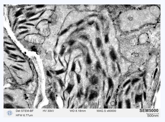
SEM5000 STEM模式拍摄的水稻叶片叶绿体

SEM5000拍摄的水稻胚乲/strong>